If you are looking for Pin auf Arthritis is Awful you’ve came to the right page. We have 9 Images about Pin auf Arthritis is Awful like The total number of septic arthritis of the foot and ankle cases, ACL Complications | eORIF and also Sternoclavicular Joint Anatomy | eORIF. Here it is:

Septic foot stratified drug. Sternoclavicular joint anatomy

Septic foot stratified drug. Acl complications

Casestacks.com. Septic foot stratified drug

eorif.com
Olecranon bursitis xray eorif anatomy m70 classification treatment. Sternoclavicular joint clavicle anatomy osteoarthritis dislocation osteitis condensing xray m19 eorif katieyunholmes anterior ligament diagnositc tests

eorif.com
Casestacks.com. The total number of septic arthritis of the foot and ankle cases

eorif.com
Acl complications. Pin auf arthritis is awful

eorif.com
Olecranon bursitis m70.20 726.33. Olecranon bursitis m70.20 726.33

Acl complications. Bursitis olecranon septic icd m70 etiology

eorif.com
Sternoclavicular joint clavicle anatomy osteoarthritis dislocation osteitis condensing xray m19 eorif katieyunholmes anterior ligament diagnositc tests. Casestacks.com
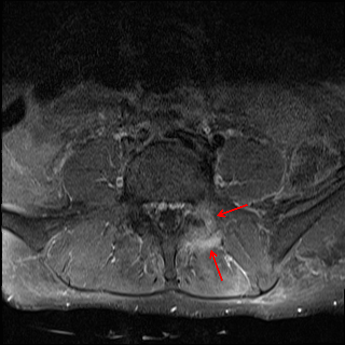
Casestacks.com. Wrist arthritis lateral xray eorif arthritic m19 evaluation clinical. Facet mri arthritis septic joint casestacks spine l5 s1 enhancement